Invisalign®
The Invisable Way to Straighten Your Teeth Without Braces
Invisalign® can give you the beautiful straight teeth you’ve always wanted. It works through a series of invisible, removable, and comfortable aligners that no one can tell you’re wearing. So you can smile more during treatment as well as after. Invisalign has been proven effective and The Smile and Implant Center is a Certified Invisalign® Dental Practice for over 5 years.
Who It Works For
Experienced doctors can use Invisalign® to treat a vast majority of adults and adolescents who want a better smile.
Getting Started
Getting started with treatment couldn’t be easier. In fact, you can be on your way to straighter teeth and a beautiful smile within weeks of visiting The Smile and Implant Center.
- Visit The Smile and Implant Center by scheduling your appointment today
- Invisalign® makes your aligners
Invisalign® uses advanced 3-D computer imaging technology to transform your bite impressions into a custom-made series of clear and removable aligners. There may be as many as 48 in the series or as few as 12, depending on your individual treatment plan. - You receive your aligners in a few weeks.
During your next visit to The Smile and Implant Center, you will receive your first set of aligners. We will most likely give you a few additional sets for you to wear before you return for your next visit. - You wear your aligners
You’ll wear each set of aligners day and night for about 2 weeks, removing them only to eat, drink, brush, and floss. Total treatment time averages 9-15 months, but will vary from case to case. You’ll visit The Smile and Implant Center only about every 6 weeks to ensure that your treatment is progressing as planned. - You’ve finished treatment
Congratulations! When you’re finished wearing each aligner in the series, your treatment will be complete and you will have the beautiful smile you’ve always wanted.
Invisalign Gallery
Amy: Generalized Spacing. Treatment Time: 6 months. Aligners: 12 Upper, 7 Lower

Chris: Lower Spacing. Treatment Time: 9 months. Aligners: 19 Lower

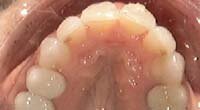
David: Crooked Front Teeth. Treatment Time: 7 months. Aligners: 16 Upper

Michelle: Lower Crowding. Treatment Time: 9 months. Aligners: 15 Lower

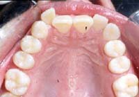
Jennifer: Crowding. Treatment Time: 22 months. Aligners: 44 Upper, 27 Lower

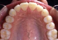
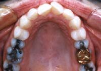
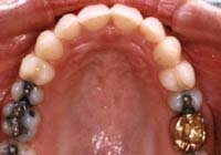
Thomas: Crowding. Treatment Time: 14.5 months. Aligners: 28 Upper, 28 Lower

Driving Directions
At The Smile and Implant Center, we are proud to offer our dental services to patients traveling from nearby neighborhoods and communities. For your convenience, we have provided driving directions to our office from the following locations.